Nạp nửa lít rượu mỗi ngày trong 20 năm, “thần cồn” bị xơ gan
“Thần cồn” nạp nửa lít rượu mỗi ngày trong 20 năm, hậu quả là phải chung sống với bệnh gan suốt đời.

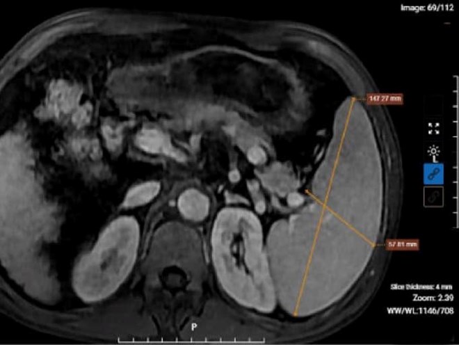
Kết quả chụp MRI của bệnh nhân nghiện rượu cho thấy hình ảnh xơ gan lách to, dịch bao quanh gan. Ảnh: BVCC
Bệnh nhân N.V.A (60 tuổi, Sơn La) đến thăm khám sức khỏe tổng quát tại Phòng khám Đa khoa Medlatec Thanh Xuân. Thời điểm thăm khám, bệnh nhân trong tình trạng mệt mỏi, nước tiểu màu vàng đậm.
Cách đây 5 năm, ông A. được chẩn đoán xơ gan, nhưng do không thấy xuất hiện các triệu chứng mất bù của bệnh nên ông chủ quan không điều trị và không tuân thủ tái khám theo chỉ định của bác sĩ.
Ngoài ra, bệnh nhân còn có thói quen uống nửa lít rượu mỗi ngày duy trì trong suốt 20 năm qua, ngay cả khi nhận kết quả mắc xơ gan.
Sau khi thăm khám lâm sàng và thực hiện các xét nghiệm, chẩn đoán hình ảnh cần thiết, kết quả chỉ số men gan AST, ALT, Bilirubin trong máu của bệnh nhân tăng ở mức báo động, cùng tình trạng xơ gan mất bù, kèm theo dịch ổ bụng. Đồng thời, kết quả xét nghiệm của bệnh nhân còn phát hiện dương tính với viêm gan B. Bác sĩ đưa ra chẩn đoán xác định bệnh nhân mắc xơ gan mất bù kèm viêm gan B mạn tính.
TS.BS Ngô Chí Cương - Phó Giám đốc chuyên môn Bệnh viện Đa khoa Medlatec; Trưởng Chuyên khoa Truyền nhiễm & Y học Nhiệt đới cho biết: “Bệnh nhân sẵn có tiền sử xơ gan nhưng không điều trị dẫn đến tình trạng xơ gan mất bù trầm trọng. Cùng với bệnh lý viêm gan B mạn tính kèm theo, nếu không được điều trị kịp thời có thể khiến virus HBV bùng phát với tải lượng lớn và cơ thể bệnh nhân không đủ sức đề kháng để chống lại, gây biến chứng suy gan cấp và mạn tính, hôn mê gan, gan mất hoàn toàn chức năng và hậu quả nặng nề là tử vong nếu không được ghép gan”.
Xơ gan và viêm gan B mạn tính đều là hai bệnh lý gan mật nguy hiểm nếu không được điều trị phù hợp, kiên trì và kỷ luật. Không tuân thủ điều trị có thể dẫn đến suy gan, gan mất chức năng và hậu quả cao nhất là tử vong khi không được ghép gan.
Viêm gan B mạn tính gây ra bởi virus HBV tồn tại trong cơ thể người trên 6 tháng. Bệnh lý này thường tiến triển âm thầm với các triệu chứng lâm sàng mờ nhạt, đến khi phát hiện bệnh có thể đã tiến triển ở giai đoạn xơ gan mất bù.
Đến thời điểm hiện tại, viêm gan B mạn vẫn chưa có phương pháp điều trị dứt điểm hoàn toàn mà chỉ có các phác đồ thuốc điều trị nhằm ức chế hoạt động của virus. Đặc biệt, với bệnh nhân xơ gan, việc điều trị cần tiến hành suốt đời giúp người bệnh có thể “chung sống hòa bình” với virus.
Theo TS.BS Ngô Chí Cương, bệnh nhân mắc xơ gan và viêm gan B mạn tính, việc tuân thủ phác đồ điều trị của bác sĩ là rất quan trọng. Bệnh nhân cần tuân thủ lối sống khoa học, chế độ dinh dưỡng, dùng thuốc đúng liều và đặc biệt kiêng rượu bia.
Bác sĩ chia sẻ thêm, thực tế cho thấy, nhiều trường hợp bị xơ gan, viêm gan B mạn tính, việc tuân thủ nghiêm ngặt phác đồ cùng khả năng đáp ứng thuốc tốt có thể giúp có cuộc sống khỏe mạnh như người bình thường. Bởi vậy, để điều trị thành công bệnh lý này, người bệnh cần kiên trì và theo dõi sát sao, linh hoạt bởi bác sĩ điều trị.




In bài viết
